Эстетическая реставрация зубов
Художественная или эстетическая реставрация зубов – это процесс восстановления, корректировки архитектуры зуба, анатомического строения, цвета, степени прозрачности - все то, что определяет натуральный вид зубов.
Реставрация зубов выполняется, когда:
- Когда зуб разрушен в результате кариеса или травмы
- Пациент не доволен эстетическим видом зубов в зоне улыбки
- Цвет зуба изменен по наследственным причинам, или после токсического действия лекарств
И в каждом случае реставрации зубов стоит задача восстановления индивидуальных особенностей поврежденного зуба, чтобы вернуть улыбке привлекательность, а пациенту уверенность в себе. Чаще всего Художественную реставрацию зубов проводят в зоне улыбки, в эстетически значимой для пациентов зоне. В итоге, восстановленную часть зуба практически невозможно отличить от структуры и формы естественного зуба. После реставрации зубы будут выполнять все привычные функции.
Процедура проходит под местной анестезией: пациент не чувствует ничего, кроме прикосновений стоматолога.
В нашей клинике для проведения качественной работы по художественной реставрации зубов стоматолог использует дополнительное оптическое оборудование, бинокуляры или дентальный микроскоп.
- Непрямой (ортопедический) – выполняется с помощью виниров или коронок.
- Прямой (композитный винир) – предполагает моделирование и восстановление зубов композитным материалом последнего поколения.
Реставрация передних зубов выполняются обоими способами. Каждый из них имеет свои достоинства, недостатки и области применения. Какой метод будет применен лично для вас, решает врач, исходя из индивидуальной ситуации и тех задач, которые должна решить процедура.
Прямая реставрация зубов - композитные виниры

Восстановление зуба проводится непосредственно в ротовой полости пациента. Композитная реставрация зубов носит как терапевтический характер – фотополимером пломбируют кариозные полости, так и эстетический.
Полимер подкрашивается специальными красками, что позволяет максимально приблизить пломбу к натуральному цвету эмали. Поэтому даже если ваш зуб состоит из пломбы на 70%, этого никто не заметит. Фотополимеры химически нейтральны и безопасны для здоровья.
Работа с одним зубом может занимать от 40 мин до 2 часов – это зависит от сложности случая, т.к. это работа очень кропотливая.
Композитные виниры имеют свои плюсы:
- Процедура выполняется за один визит
- Высокий уровень эстетики
- За один раз можно отреставрировать несколько зубов
- Щадящая обработка зубной ткани
- Метод позволяет восстановить даже сильно разрушенный зуб
- Оптимальное соотношение цены и качества
Однако у метода есть и минусы. Зуб может со временем менять свой цвет, тогда станет видна граница между пломбировочным материалом и живой тканью. Для сохранения первоначального вида композитного материала ротовой полости необходим дополнительный уход. Реставрированные зубы нуждаются в чистке специальными средствами, как в домашних условиях, так и стоматологическом кабинете.
Непрямая реставрация зубов
Ортопедический или непрямой метод предполагает установку замещающих конструкций – виниров, коронок, мостовидных протезов.
Эти конструкции изготавливаются в лаборатории по сверхточным слепкам. Благодаря чему достигается максимальная предсказуемость результата. Таким способом можно восстановить практически полностью утраченный зуб, но это уже относится к области протезирования.
Для решения эстетических проблем и дефектов передних зубов специалисты используют так-же Винир – тонкая пластинка толщиной от 0,2 мм, сделанная из керамики, стеклокерамики, циркония или других материалов. Эти конструкции выполняются по слепку пациента в лаборатории, а затем клеятся на фронтальную часть зуба. Перед установкой винира обтачивается верхний слой эмали.

Достоинства виниров:
- Высокие эстетические характеристики
- Цвет материалов устойчив к красителям и мало меняется со временем
- Долговечность (при соблюдении технологии изготовления и правильной подготовки пациента)
Однако каждая медицинская манипуляция имеет свои противопоказания и ограничения о которых необходимо знать пациенту. К счастью, противопоказаний к выполнению процедуры не так много.
Абсолютное противопоказания: аллергическая реакция на композитные материалы.
Относительные противопоказания: некоторые виды нарушений прикуса; бруксизм (скрежетание зубами во сне); несоблюдение пациентом гигиены рта.
Реставрация зубов цена
Стоимость работ может сильно варьироваться в зависимости от их вида и объема. Цена композитных виниров значительно ниже керамичестких.
Цена реставрации зубов может вырасти при необходимости восстановления нескольких единиц и при лечении глубокого кариеса. Поэтому окончательно сумму сможет назвать только врач на месте, после оценки объема работ.
Сертифицированные специалисты
Фото до и после лечения
В этом разделе вы можете увидеть фотографии, на которых запечатлены процессы работы стоматологов: лечение зубов, установка зубных протезов и проведение процедур по профессиональной гигиене ротовой полости.
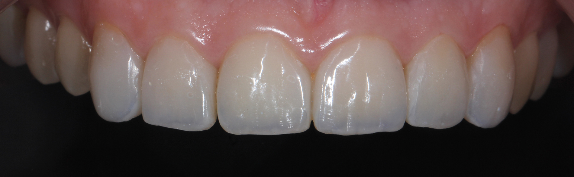
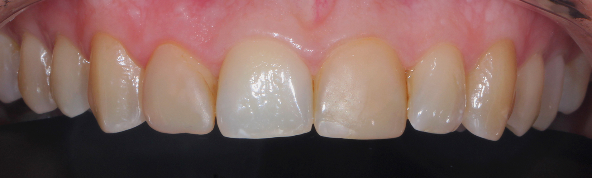
До
После
Направление: Эстетическая художественная реставрация передних зубов.
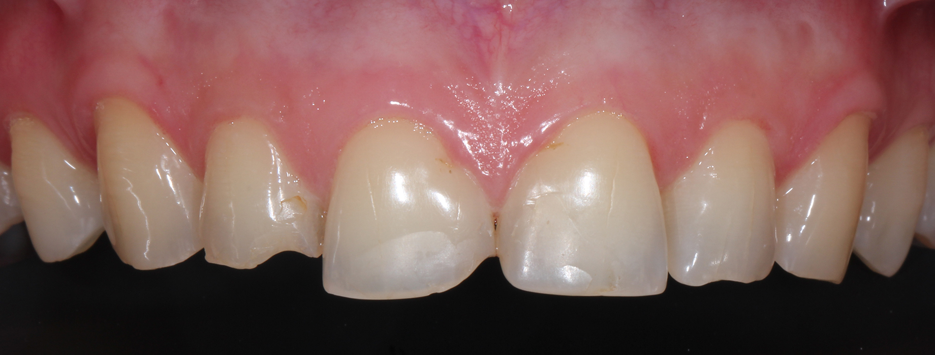
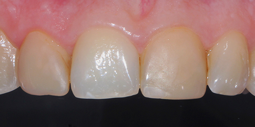
До
После
Направление: Эстетическая художественная реставрация передних зубов.
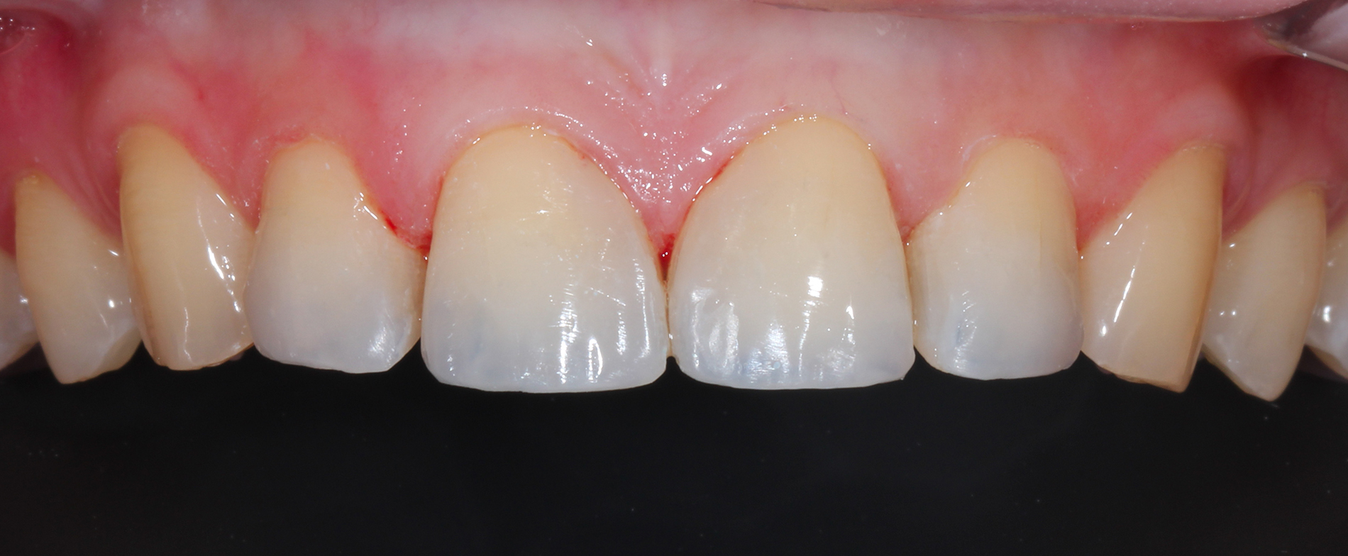
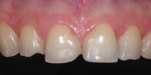
До
После
Направление: Эстетическая художественная реставрация передних зубов. Пациент обратился с дисколоритом центральных зубов, разная форма передних резцов. Желание вернуться к физиологической форме, размеру и цвету.
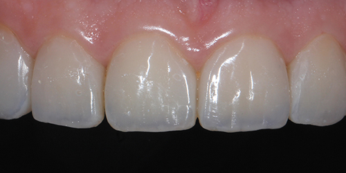
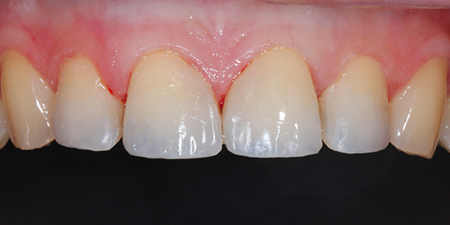
До
После
Направление: Эстетическая художественная реставрация передних зубов. Кариес в пришеечной области
До
После
Направление: Эстетическая художественная реставрация передних зубов. Композитные виниры
До
После
Направление: Эстетическая художественная реставрация передних зубов. Композитные виниры
До
После
Направление: Эстетическая художественная реставрация передних зубов.
До
После
Направление: Эстетическая художественная реставрация передних зубов, закрытие диастемы. Пациент после ортодонтического лечения.
До
После
Направление: Эстетическая художественная реставрация передних зубов. Устранение последствий травмы зуба
До
После
Направление: Эстетическая художественная реставрация передних зубов.
В данном клиническом случае была выполнена работа по закрытию диастем после ортодонтического лечения.
До
После
Направление: Эстетическая художественная реставрация передних зубов.
Мы работаем со страховыми компаниями
Клиника "Семейный стоматолог" сотрудничает с ведущими страховыми компаниями. Вы можете пройти лечение по программе добровольного медицинского страхования (ДМС). Выбирайте комфорт и заботу о здоровье без лишних хлопот!









