г. Орел, ул. С. Шаумяна, дом 3
(4862) 76-21-80 8-910-308-44-22 8-800-201-97-15звонок бесплатный
Версия для слабовидящих Мы в VK
Запись по телефону(4862) 76-21-80или онлайн на сайте
Записаться на прием
Врач стоматолог-микроскопист,
Врач стоматолог-ортопед Ведет взрослый прием
Стаж работы с 2020 года
Ведение взрослого терапевтического приёма в полном объёме:
Работа с изоляцией рабочего поля системой Коффердам, работа под микроскопом, ведение профессионального фотопротокола до\после
Уникальный номер реестровой записи об аккредитации 3625 033111013
Дата, до которой действительно решение аккредитационной комиссии 16.07.2030
Наименование процедуры аккредитации специалиста: Специальность Стоматология терапевтическая
Федеральное государственное бюджетное образовательное учреждение высшего образования «Воронежский
государственный медицинский университет имени Н.Н.Бурденко» Минздрава России
Уникальный номер реестровой записи об аккредитации 3624 032112327
Дата, до которой действительно решение аккредитационной комиссии 23.07.2029
Специальность Стоматология ортопедическая
Федеральное государственное бюджетное образовательное учреждение высшего образования «Воронежский
государственный медицинский университет имени Н.Н.Бурденко» Минздрава России
До
После
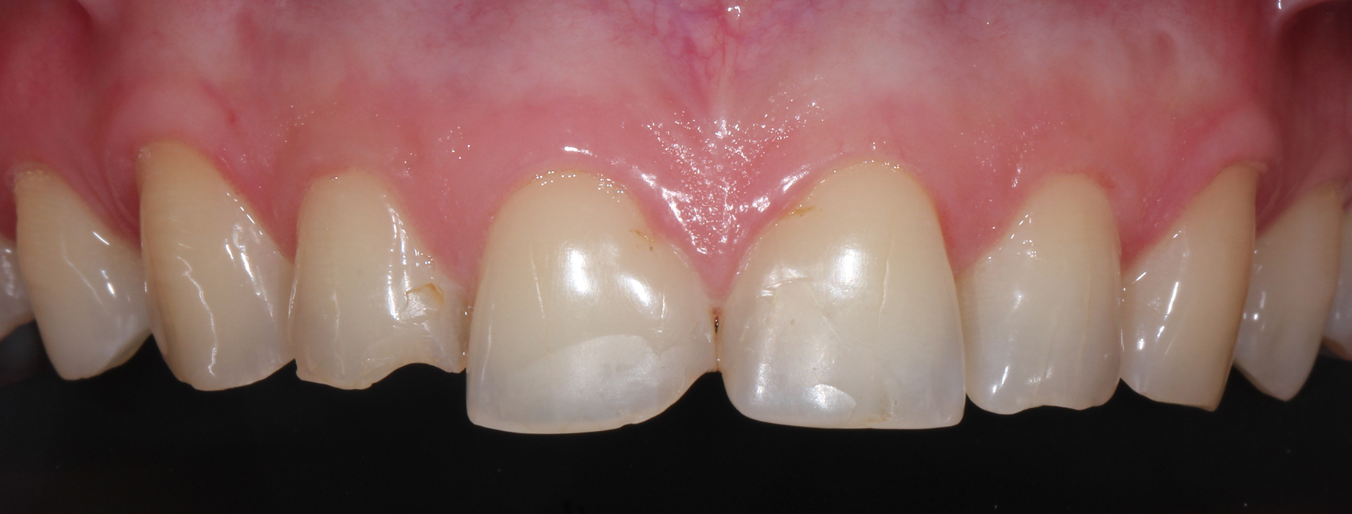
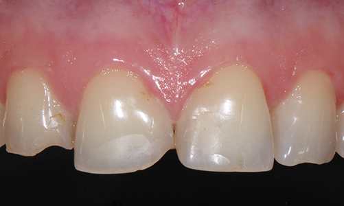
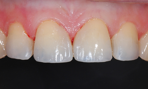
Направление: Эстетическая художественная реставрация передних зубов.
До
После
Направление: Эстетическая художественная реставрация передних зубов.
До
После
Направление: Эстетическая художественная реставрация передних зубов. Пациент обратился с дисколоритом центральных зубов, разная форма передних резцов. Желание вернуться к физиологической форме, размеру и цвету.
До
После
Направление: Эстетическая художественная реставрация передних зубов. Кариес в пришеечной области
До
После
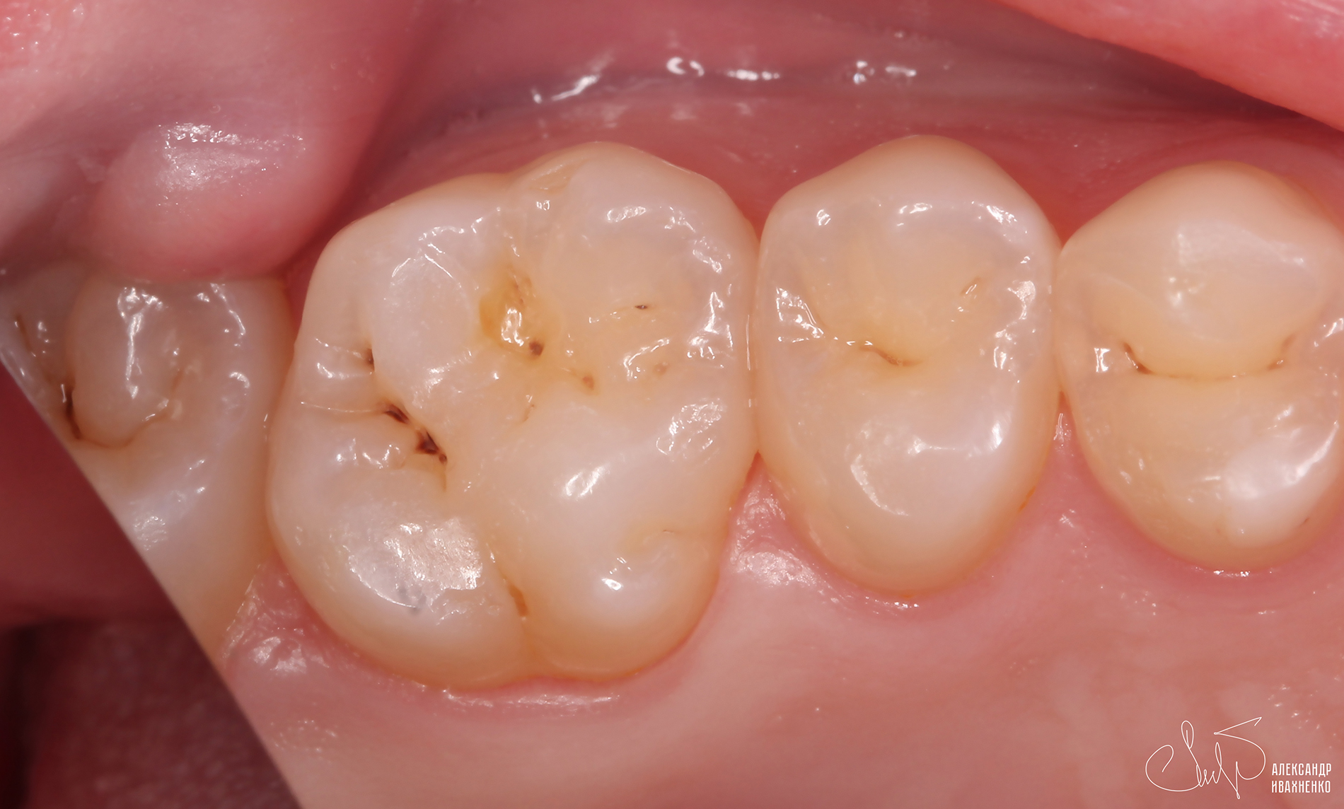
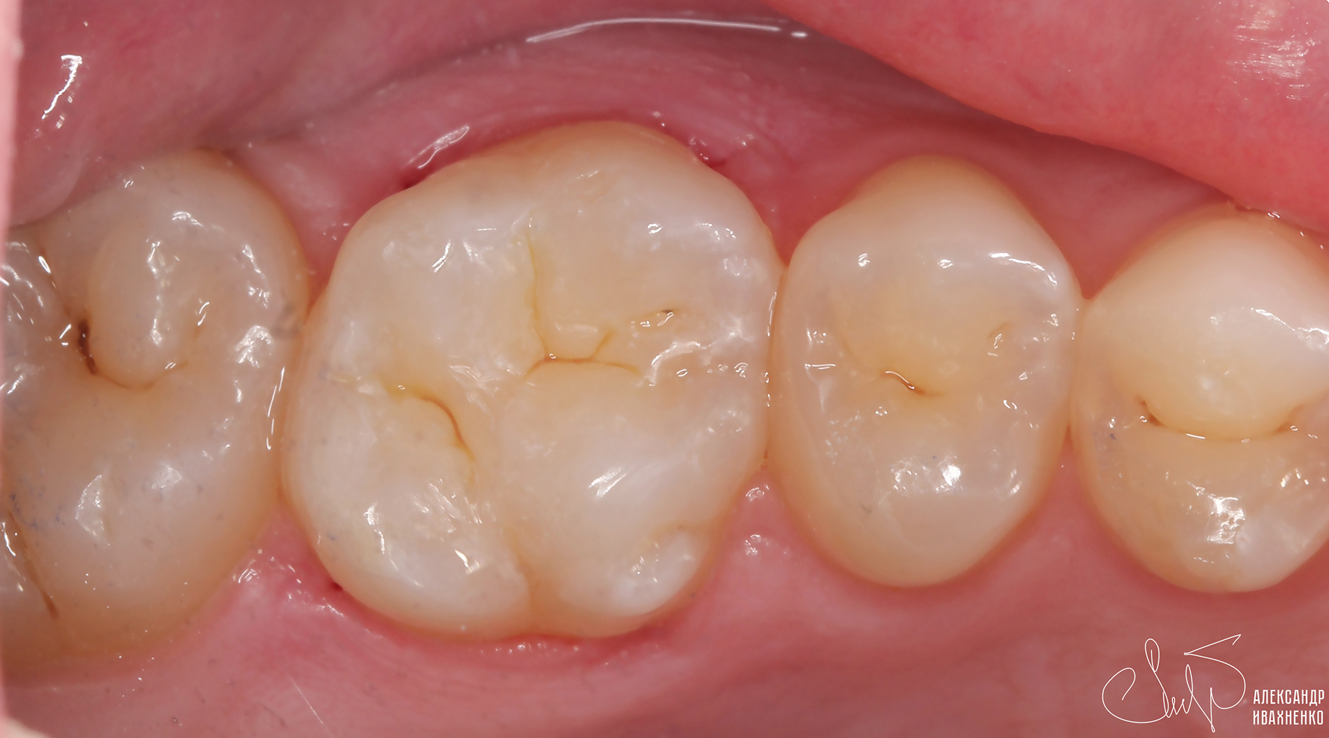
Направление: Лечение кариеса с реставрационным восстановлением физиологических бугров и фиссур.
До
После
Направление: Лечение кариеса с реставрационным восстановлением физиологических бугров и фиссур.
До
После
Направление: Эстетическая художественная реставрация передних зубов. Композитные виниры
До
После
Направление: Эстетическая художественная реставрация передних зубов. Композитные виниры
До
После
Направление: Эстетическая художественная реставрация передних зубов.
До
После
Направление: Эстетическая художественная реставрация передних зубов, закрытие диастемы. Пациент после ортодонтического лечения.
До
После
Направление: Эстетическая художественная реставрация передних зубов. Устранение последствий травмы зуба
До
После
Направление: Эстетическая художественная реставрация передних зубов.
В данном клиническом случае была выполнена работа по закрытию диастем после ортодонтического лечения.
До
После
Направление: Эстетическая художественная реставрация передних зубов.
До
После
Направление: Эстетическая художественная реставрация передних зубов.
До
После
Направление: Лечение скрытого контактного кариеса с восстановлением физиологических бугров и фиссур. Работа выполнена с использованием красок
До
После
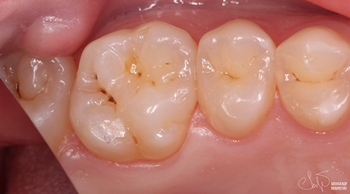
Направление: Лечение кариеса с восстановлением физиологических бугров и фиссур
До
После
Направление: Эндодонтическое лечение. Лечение апикального периодонтита словами пациентов "киста зуба"
В данном случае Пациент обратился к нам с постоянными ноющими болями, болями при накусывании, при
проведении диагностики был обнаружен большой очаг разряжения костной ткани, после проведенного лечения
боли ушли, мы можем наблюдать осмотр в динамике.
Через пол года видим улучшение ситуации, жалобы отсутствуют, через год мы видим почти полное заживление
очага, жалобы отсутствуют, результат лечения успешный.
Периодонтит подобного размера может окончательно заживать до 4 лет.
До
После
Направление: Лечение кариеса с восстановлением физиологических бугров и фиссур.
До
После
Направление: Лечение кариеса с восстановлением физиологических бугров и фиссур
До
После
Направление: Лечение скрытого контактного кариеса с восстановлением физиологических бугров и фиссур. Работа выполнена с использованием красок
До
После
Направление: Эстетическая реставрация передних зубов.
До
После
Направление: Эстетическая реставрация передних зубов.
До
После
Направление: Эндодонтическое лечение.
Перелечивание каналов под микроскопом. На первом снимке ситуация ДО очаг деструкции или «киста», 2 фото удаление штифта, распломбировка и очистка системы корневых каналов 3 фото пломбировка корневых каналов 4 фото осмотр спустя 6 месяцев , наблюдаем заживление очага деструкции.
До
После
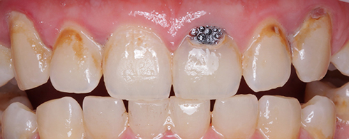
Направление: Ортопедия.
Протезирование 1 циркониевая коронка 1 Винир. Эстетическая реставрация 2 зубов, замена старых пломб, лечение кариеса. Хирургия — пластика десны с подъемом зенита
До
После
Направление: Лечение кариеса с восстановлением физиологических бугров и фиссур
До
После
Направление: Лечение скрытого контактного кариеса с восстановлением физиологических бугров и фиссур
До
После
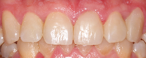
Направление: Эстетическая реставрация передних зубов
До
После
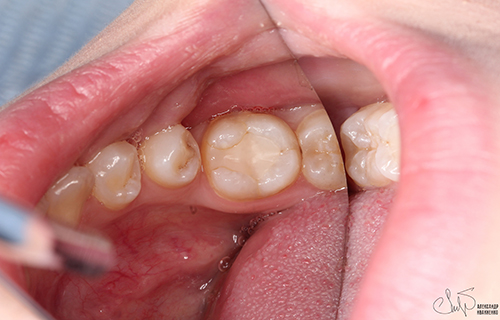
Направление: Лечение кариеса с восстановлением физиологических бугров и фиссур
До
После
Направление: Лечение кариеса с восстановлением анатомии зуба
До
После
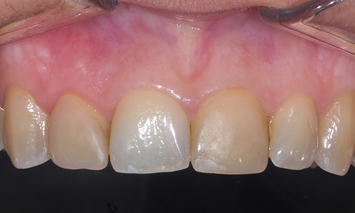
Направление: Эстетическая реставрация центральных резцов.
Замена несостоятельных пломб на реставрации во фронтальном отделе. Композитный винир. Измение цвета и формы зубов. Работа заняла 2 часа.
До
После
Направление: Эстетическая реставрация центральных резцов.
Лечение контактного кариеса, художественная реставрация с восстановлением физиологических бугров и фиссур.
До
После
Направление: Эстетическая реставрация центральных резцов.
замена несостоятельных пломб, скола центрального зуба на реставрации во фронтальном отделе. Композитный винир. Измение цвета и формы зубов. Работа заняла 2,5 часа.
До
После
Когда зуб не тронут, и имеется кариозная полость, лучшее что может сделать доктор, это скопировать анатомию зуба! При использовании такого метода, доктор максимально сохраняет все природные пропорции зуба и минимально вмешивается в прикус. На первом фото мы видим ситуации до, 2 фото скопированная анатомия, 3 очистка, 4 перенос копии, 5 финиш.
До
После
Направление: Художественная реставрация с восстановлением физиологических бугров и фиссур зуба.
До
После
Скрытый кариес, обычно он обнаруживается на обоих зубах участвующих в контакте. После раскрытия полости мы обнаруживаем скрытый кариес на обеих зубах. 2,3 очистка. 4 финиш.
До
После
Направление: Художественная реставрация с восстановлением физиологических бугров и фиссур зуба.
До
После
Направление: Художественная реставрация с восстановлением физиологических бугров и фиссур зуба.
До
После
Направление: Художественная реставрация с восстановлением физиологических бугров и фиссур зуба.
До
После
Направление: Художественная реставрация с восстановлением физиологических бугров и фиссур зуба.
До
После
Направление: Лечение зубов
До
После
Направление: Лечение зубов
До
После
Направление: Лечение зубов
До
После
Направление: Лечение зубов
До
После
Направление: Лечение зубов
До
После
Направление: Лечение зубов
До
После
Направление: Лечение зубов
Вчера посетила клинику, хочу выразить благодарность Монашовой Александре Владимировна. Я уже полгода ношу брекет систему и почувствовала чувствительность зубов, Александра Владимировна очень подробно объяснила мне как мне помочь и что делать что бы предотвратить эту проблему в будущем. Она очень деликатно сделала мне чистку и покрыла защитой, ведь брекеты требуют особое внимание. Спасибо ещё раз.
Выражаю благодарность клинике «Семейный стоматолог» и лично врачу Захаренко Игорю Ефимовичу. Просто виртуоз, удалил верхнюю «восьмерку» меньше чем за минуту! Заживает отлично, даже обезболивающие не потребовались! Кроме этого, не стремится навязать услуги, поддерживает сохранение и лечение зубов, не рекомендовал удаление «восьмёрок» с другой стороны челюсти, хотя обращалась я именно за этим. Рекомендую обращаться в клинику «Семейный стоматолог»!
Данная информация размещена с согласия объектов персональных данных
Клиника "Семейный стоматолог" сотрудничает с ведущими страховыми компаниями. Вы можете пройти лечение по программе добровольного медицинского страхования (ДМС). Выбирайте комфорт и заботу о здоровье без лишних хлопот!










Задать вопрос
Записаться на прием
Сайт использует cookie-файлы, чтобы сделать ваше пребывание на нем максимально удобным. К сайту подключен сервис веб-аналитики Яндекс Метрика, использующий cookie-файлы. Оставаясь на сайте, Вы даете свое согласие на обработку персональных данных в порядке, указанном в Политике обработки персональных данных.